骨折だった‼‼‼‼

いつもの循環器の診察と処方箋をもらいに、米塚経由で、、

雲海と米塚の競演は初めてです。

心臓の診察を終えて、、先週の足の小指の診察もついでに 整形へ、、

 

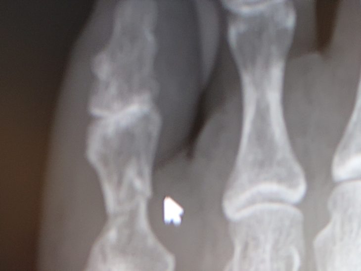
診察して レントゲンを撮ったら

周りの皆んなは 「打撲だと思うよ」って 言うけど、、この痛みと腫れは脱臼か骨折かもと 思っていたら ヤッパリ 骨折だった。

しばらく経過観察ですと言われて、、、カカトで歩くように、、土踏まずに型を取った石膏のようなものを入れて、、小指を安静にするようにと、、。

しばらく 不自由な 歩き方になります。

カテゴリー: 未分類 パーマリンク

骨折だった‼‼‼‼” への2件のコメント

  1. ふみっち のコメント:

    あ〜ぁ
    やっちまったなぁ〜

  2. asojiro のコメント:

    仕事に 直接 影響します。
    夏の間は助っ人がいますが、、、その後が心配です。

    皆さんも 足の小指は注意してください、、。
    痛いです。

コメントを投稿する

メールアドレスが公開されることはありません。 が付いている欄は必須項目です

:wink: :-| :-x :twisted: :) 8-O :( :roll: :-P :oops: :-o :mrgreen: :lol: :idea: :-D :evil: :cry: 8) :arrow: :-? :?: :!: